Alle Storys
Folgen
Keine Story von Campus Klinik an der Ruhr-Universität Bochum mehr verpassen.

Campus Klinik an der Ruhr-Universität Bochum

RUB-Mediziner entdecken wichtigen Index für Hirnschäden bei Neugeborenen

RUB-Mediziner entdecken wichtigen Index für Hirnschäden bei Neugeborenen
  • Bild-Infos
  • Download

Bochum (ots)

- Querverweis: Die englische Pressemitteilung liegt in der 
  digitalen Pressemappe zum Download vor und ist unter
  http://www.presseportal.de/pm/129797/3883672 abrufbar -

RUB-Mediziner: "Das Risiko für Hirnschäden in der weißen Substanz ist bei Reifgeborenen mit großem Kopfumfang verzehnfacht - trotz unauffälliger Geburt"

Bochumer Mediziner haben eine einfache Methode entdeckt, um Babys mit hohem Risiko für Hirnschäden in der weißen Substanz zu erkennen, die Hauptursachen der zerebralen Kinderlähmung (Zerebralparese) sind. Sie untersuchten prospektiv 4.725 reife Neugeborene mit Ultraschall, eine Population, die normalerweise nicht untersucht wird, und zeigten, dass ein großer Kopfumfang bei Geburt (> 90. Perzentile) das Risiko für einen Hirnschaden um das Zehnfache erhöht. "Für uns ist die Schädigung der weißen Substanz in einer scheinbar gesunden Population von überwiegend männlichen Neugeborenen das fehlende Bindeglied zwischen dem Hirnschaden, der der Diagnose entgeht, und der Entwicklung ungeklärter Zerebralparesen im Kindesalter", sagt Prof. Dr. Arne Jensen von der Campus Klinik Gynäkologie an der Ruhr-Universität Bochum. Er berichtet zusammen mit seinem Kollegen Bert Holmer, MD, in der Zeitschrift "Obstetrics and Gynecology International" https://www.hindawi.com/journals/ogi/2018/2120835/.

Ein Heilversuch mit Stammzellen bei Schlaganfall nach der Geburt wies den Weg

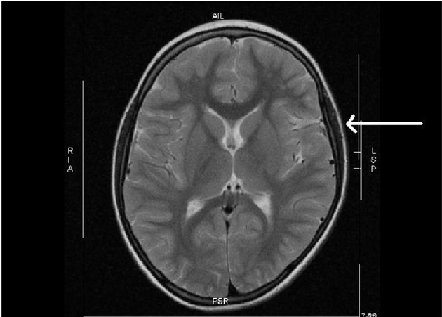
In einer kürzlich erschienenen Publikation hatte ein kleines Mädchen unter der Geburt einen Schlaganfall mit Halbseitenlähmung erlitten, obwohl es am Termin nach unauffälliger Schwangerschaft der Mutter mit normalen Apgar-Werten bei großem Kopfumfang (> 97. Perzentile) und Anzeichen einer starken Kopfverformung scheinbar gesund geboren worden war. Nach der Magnetresonanz-Tomographie des Schädels (MRT), die einen wegweisenden Befund ergab, wurde die Stammzellbehandlung aus Nabelschnurblut erfolgreich durchgeführt. "Zu unserer Überraschung war die Druckstelle am Gehirn durch die mechanische Kompression 5 Jahre nach der Geburt des Mädchens immer noch sichtbar", erinnert sich Prof. Arne Jensen. "Wir haben daraufhin unsere Datenbank gezielt durchsucht und festgestellt, dass bei Kombination von großem kindlichen Kopfumfang mit protrahierter Geburt oder Geburtsstillstand ein hohes Risiko für eine Hirnschädigung in der weißen Substanz besteht."

U-förmige Beziehung zwischen Kopfumfang und Hirnschaden

Auch reifgeborene Babys mit sehr kleinem Kopfumfang (<10. Perzentile) sind bedroht, denn bei ihnen steigt die Rate an Schäden in der weißen Substanz um das Sechsfache (Risiko 2,5%) gegenüber dem Referenzwert (Risiko 0,4%) an, was auf unterschiedliche Entstehungsmechanismen hindeutet. Bei Kopfumfängen über der 90. Perzentile (Risiko 4,3%) stehen ursächlich ein relatives Missverhältnis zwischen kindlichem Kopf und Becken der Mutter sowie eine lange Geburtsdauer bei erhaltener Vitalität der Neugeborenen im Vordergrund, während unterhalb der 10. Perzentile ein akuter oder chronischer Sauerstoffmangel mit Verminderung von Vitalität, Apgar-Bewertung und Säurebasenhaushalt der Babys überwiegen. Diese Babys sind, anders als die großen gesunden Neugeborenen, in einem schlechten Zustand bei Geburt und werden deshalb gewöhnlich durch Hirnultraschall untersucht, so dass Hirnschäden entdeckt werden können.

Wichtige klinische Konsequenzen

Zur Verbesserung der klinischen Versorgung gefährdeter Kinder im Hinblick auf eine dramatische Zunahme von mütterlicher Adipositas und kindlichem Übergewicht wurde kürzlich von den Bochumer Medizinern ein generelles Screening auf Hirnschäden bei Neugeborenen, die nach längerer Wehentätigkeit eine Verformung des Schädels zeigen, empfohlen. "Wir glauben, dass klinisch unauffällige Neugeborene, die sehr große oder sehr kleine Kopfumfänge aufweisen, grundsätzlich einer Bildgebung des Gehirns zugeführt werden sollten, um kosteneffiziente Therapieoptionen wie eine frühzeitige aktive Neurorehabilitation oder auch potenziell wirksame Zellbehandlungen anbieten zu können, denen vor kurzem der Medikamentenstatus zur Behandlung seltener Erkrankungen durch die EMA (Orphan Medicinal Product Designation) verliehen worden ist.

Titelaufnahme

Arne Jensen and Bert Holmer, "White Matter Damage in 4,725 Term-Born Infants Is Determined by Head Circumference at Birth: The Missing Link," Obstetrics and Gynecology International, vol. 2018, Article ID 2120835, 12 pages, 2018. doi:10.1155/2018/2120835

Weitere Informationen

- Prof. Dr. med. Arne Jensen, Ruhr-Universität Bochum, Campus Klinik 
Gynäkologie, 	
Universitätsstr. 140, 44799 Bochum, Telefon +49 234/588196-0  
Arne.Jensen@ruhr-uni-bochum.de

Links

   - Jensen and E. Hamelmann (2016): First autologous cord blood 
therapy for pediatric ischemic stroke and cerebral palsy caused by 
cephalic molding during birth - Individual treatment with mononuclear
cells, Case Reports in Transplantation Volume 2016 (2016), Article ID
1717426, 9 pages http://dx.doi.org/10.1155/2016/1717426
   - Orphan Medicinal Product Designation for Periventricular 
Leukomalacia, EMA 2016 http://ots.de/EEum8w

Kontakt:

Prof. Dr. med. Arne Jensen, Ruhr-Universität Bochum, Campus Klinik
Gynäkologie, Universitätsstr. 140, 44799 Bochum,
Telefon +49 234/588196-0
arne.jensen@ruhr-uni-bochum.de