Logo Presseportal

Vollversion Presseportal

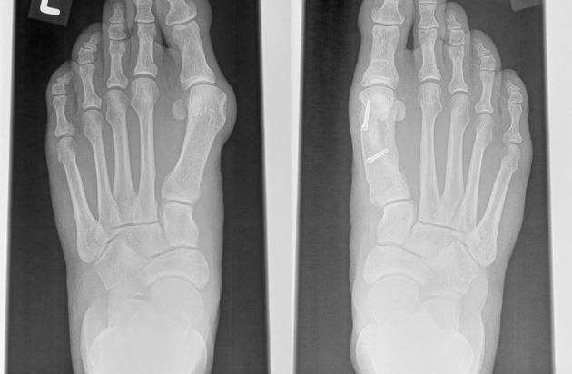
MAGNEZIX® - das Metallimplantat, das zu Knochen wird: Folgeoperationen zur Metallentfernung bei Hallux valgus nicht mehr nötig

 
 Quelle: Syntellix AG
Bildunterschrift:
MAGNEZIX® - das Metallimplantat, das zu Knochen wird: Folgeoperationen zur Metallentfernung bei Hallux valgus nicht mehr nötig / Hallux Valgus (links), Behandlung mit MAGNEZIX®-Schrauben (rechts, bioabsorbierbare metallische Implantate), Fußchirurgie, Hammerzeh, Ballenzeh. Weiterer Text über ots und www.presseportal.de/nr/122353 / Die Verwendung dieses Bildes ist für redaktionelle Zwecke honorarfrei. Veröffentlichung bitte unter Quellenangabe: "obs/Syntellix AG"

26.06.2018 – 06:00  Syntellix AG    [newsroom]
--------------------------------------------------------------
      Mehr über MAGNEZIX®
      http://ots.de/rjHNJU
--------------------------------------------------------------

Hannover (ots) -

- Querverweis: Eine Patientenbroschüre liegt in der digitalen
  Pressemappe zum Download vor und ist unter
  http://www.presseportal.de/pm/122353/3980510 abrufbar -
- Querverweis: Video ist abrufbar unter:
  http://www.dpa-video.com und
  http://www.presseportal.de/pm/122353/3980510 -

Hauptsächlich Frauen sind von Hallux valgus, dem Schiefstand der Großzehe, betroffen. Die Fehlstellung hat einen schleichenden Verlauf und beeinträchtigt zunehmend die Lebensqualität der Betroffenen. Einzige wirklich langfristig zielführende Lösung im fortgeschrittenen Stadium ist meist ein operativer Eingriff. Allerdings waren bislang gemeinhin zwei Operationen nötig: Zunächst die eigentliche Umstellung bzw. Korrektur der Zehe und Monate später die Entfernung des Implantats. Einen ganz anderen Ansatz bieten die weltweit einzigartigen Implantate der Marke MAGNEZIX®: Die aus einer speziellen Magnesium-Legierung bestehenden Schrauben und Pins werden vom Körper in Knochen umgebaut und müssen nicht wieder entfernt werden. Umfassendes Informationsmaterial bietet Syntellix für Betroffene und Mediziner unter www.magnezix.de.

Nach Brüchen oder bei Umstellungsoperationen wie der fußchirurgischen
Behandlung des Hallux valgus werden Knochen häufig mit Schrauben, 
Nägeln, Drähten oder Platten temporär fixiert, bis sie wieder 
zusammengewachsen sind. Bisher wurden dafür vorrangig Implantate aus 
Edelstahl oder Titan verwendet. Das Problem: Diese Metalle sind 
Fremdmaterial für den Körper, woraus Schmerzen, Infektionen und auch 
ein Knochenabbau resultieren können. Um spätere Komplikationen und 
Probleme zu minimieren, müssen die stabilisierenden Metallimplantate 
nach Knochenheilung in einer Folgeoperation entfernt werden, die 
wiederum Risiken von Infektionen bis hin zu Anästhesieschäden nach 
sich ziehen kann. Nicht so jedoch die überlegend innovativen Produkte
der Marke MAGNEZIX® von Syntellix:

MAGNEZIX® ist aus Sicht erfahrener Experten ein Quantensprung zu 
herkömmlichen Schrauben und Pins in der Fuß-, Hand- und 
Sport-Chirurgie mit außerordentlichen Vorteilen für die Patienten. 
Prof. Dr. Utz Claassen, CEO und Gründer der Syntellix AG, erläutert: 
"In über fünfjähriger Forschungs- und Entwicklungsarbeit konnten wir 
unter der Marke MAGNEZIX® ein innovatives Material realisieren und 
erfolgreich in den Markt bringen, das sich in der 
Implantat-Stabilität sogar mit Titan messen kann, aber im Gegensatz 
zu herkömmlichen metallischen Implantaten sich nach Knochenheilung im
Körper auflöst. Hauptbestandteil dieser besonderen Legierung ist mit 
über 90% Magnesium, das vom Körper in Knochengewebe gewandelt wird; 
der verbleibende Rest wird abgebaut." Eine Folgeoperation zur 
Metallentfernung, so Claassen, wird damit überflüssig. Seit der 
europaweiten Zulassung im Jahr 2013 wurden bereits zehntausendfach 
Patienten mit MAGNEZIX®-Implantaten erfolgreich operiert. 
Hervorragend bewährt haben sich die bioabsorbierbaren Schrauben und 
Pins u.a. bei der chirurgischen Behandlung von Hallux valgus, einer 
der häufigsten Fehlstellungen des Vorderfußes überhaupt - mit 
herausragender Patientenzufriedenheit.

Zur Verdeutlichung der Größenordnung und Bedeutung: Über 20 % aller erwachsenen Frauen leiden an Hallux valgus - dem Schiefstand des Großzehs. Ab einem Alter von 65 ist sogar ein Anstieg auf 37 % zu verzeichnen, wobei der Großzehen-Fehlstand bei 84 % der Betroffenen beidseitig auftritt. Unter dem Strich bedeutet das ca. 10 Mio. Hallux valgus-Betroffene allein in Deutschland. Diese meist genetisch prädisponierte und durch das Tragen zu hoher und zu enger Schuhe forcierte Erkrankung ist äußerst schmerzhaft. Der Effekt von Hilfsmitteln wie Nachtlagerungsschienen, Bandagen, Schaumstoffpolstern, Einlagen oder flachen Schuhen und der konservativen Behandlung mit Physiotherapie ist begrenzt und kann allenfalls schmerzlindernd wirken. Die Erkrankung wird damit nicht in ihrer Ursächlichkeit behoben.

Zumal die kontinuierlich fortschreitende Fehlstellung die Lebensqualität der von Hallux valgus Betroffenen zunehmend beeinträchtigt, verbleibt als nachhaltige Lösung meist nur ein operativer Eingriff. Das Resultat sind etwa 70.000 Operationen pro Jahr allein in Deutschland, bei denen die Zehe begradigt und mit 1-2 Implantaten fixiert wird. Die positiven Auswirkungen für die Lebensqualität der Patienten rechtfertigen die sogenannte Umstellungsosteotomie allemal. Ideal wäre es allerdings, wenn das mit einer Metallentfernung naturgemäß verbundene Operationsrisiko im Hinblick auf Infektionen und Narkoseschäden ausgeschlossen werden könnte. Möglich ist das mit den wegweisenden Implantaten aus MAGNEZIX®, die sich auflösen und eben diese Folgeoperation zur Implantatentfernung im besten Patienteninteresse überflüssig machen.

Wissenswertes für operierende Mediziner

MAGNEZIX®-Implantate weisen eine vergleichbare Stabilität wie herkömmliche Produkte aus Titan sowie exzellente Degradationseigenschaften auf und sind damit ideal für das Fixieren von Knochen und Gelenken bei Frakturen sowie Umstellungsosteotomien. Mit ihrer Dimensionsvielfalt werden die Implantate fast überall im Körper zur Versorgung von Frakturen kleiner Knochen und Knochenfragmente sowie bei Arthrodesen, Osteotomien und Pseudarthrosen kleiner Knochen und Gelenke eingesetzt. Die Anwendung der Schrauben und Pins erfolgt im Rahmen bekannter Operationstechniken. Das bewährte Design sorgt für exzellente Haltkraft im kortikalen Knochen und für eine ausgezeichnete Kompression der Knochenfragmente. MAGNEZIX®-Produkte sind u.a. mit der CE-Kennzeichnung als weltweit erste bioabsorbierbare metallische Implantate in über 40 Ländern zugelassen. Die hervorragende Verträglichkeit wurde klinisch geprüft und ausführlich wissenschaftlich belegt. Zahlreiche Studien und Veröffentlichungen zeigen die Wirksamkeit, Qualität und Sicherheit der Implantate.

Informations-Set für Patienten und Ärzte auf www.magnezix.de kostenfrei bestellbar

Syntellix bietet ein umfassendes Informations-Set an, das auf der Website www.magnezix.de kostenfrei bestellt werden kann. Enthalten ist darin u.a. eine Broschüre, die die Vorteile von MAGNEZIX® für Patienten und Ärzte detailliert aufzeigt. Erfahrene medizinische Experten empfehlen u.a. Hallux valgus-Patienten, auf Basis dieser Informationen das Gespräch mit ihrem behandelnden Arzt zu suchen, um die Risiken einer Folgeoperation zur Metallentfernung auszuschließen.

Über Syntellix AG

Die Syntellix AG ist ein international agierendes, dynamisch wachsendes Medizintechnik-Unternehmen mit Sitz in Hannover. Das Unternehmen ist spezialisiert auf Forschung, Entwicklung und Vertrieb hoch innovativer bioabsorbierbarer metallischer Implantate. Syntellix wurde im Jahr 2008 auf Initiative von Prof. Dr. Utz Claassen gegründet. Dem Start-up gelang nach engagierter Arbeit rasch der Durchbruch: Durch den Aufbau eines interdisziplinären Netzwerks mit Wissenschaftlern an unterschiedlichen Forschungsstandorten konnte innerhalb von nur 5 Jahren MAGNEZIX® entwickelt und zur Marktreife gebracht werden. Nach umfassenden biomechanischen Analysen und einer äußerst erfolgreichen klinischen Studie erlangte MAGNEZIX® 2013 die weltweit erste Zulassung (CE-Kennzeichnung) als Werkstoff für ein bioabsorbierbares metallisches Implantat zum Einsatz im Menschen. Im März 2013 erhielt die Syntellix AG für ihre richtungsweisende Innovation MAGNEZIX® den international renommierten Innovationspreis der deutschen Wirtschaft. Zwei Jahre später wurde das Unternehmen als Top-Innovator des deutschen Mittelstandes ausgezeichnet. Im Jahr 2016 konnte dieser Titel erneut gewonnen werden, ebenso erhielt Syntellix den Zukunftspreis der deutschen Gesundheitswirtschaft. Es folgten 2017 der Gewinn des German Medical Awards sowie des STEP Awards und die Auszeichnung als "Innovator des Jahres". Mittlerweile sind MAGNEZIX®-Implantate in über 40 Ländern der Welt zugelassen. Die Syntellix AG ist Technologie- und Weltmarktführer für transformierbare Metallimplantate.

Kontakt:

Kontakt
Syntellix AG
Aegidientorplatz 2a
D-30159 Hannover
Deutschland

Tel.: +49-(0)511-270413-50
Fax: +49-(0)511-270413-79
E-Mail: info@syntellix.com
Web: www.syntellix.com

Pressekontakt
fokus digital GmbH
CEO Giovanni Bruno
Reinhardstr. 31
D-10117 Berlin

Tel.: +49-(0)30-28886005
E-Mail: bruno@fokus-d.de
Web: www.fokus-d.de